-
Praxis
- Abformmaterialien
- Desinfektion, Reinigung, Pflege & Sterilisation
- Einwegartikel, Arbeitsschutz
- Endodontie, Wurzelkanalaufbereitung
- Ersatzlampen
- Füllungen
- Hilfsmittel für Füllungen
- Instrumente
- Medikamente, Pharmazeutika & Sonstiges
- Praxisgeräte
- Praxisorganisation
-
Prophylaxe
- Zahnpflege - Zahnseide und Zubehör
- Plaqueerkennung, Kariesdiagnostik
- Aufbewahrungs- und Transportboxen, Zubehör
- Zahnpflege - Mundspüllösungen und Pflege
- Zahnpflegekaugummis, - drops, -tabletten
- Reinigungspulver für Pulverstrahlgeräte
- Zahnreinigung maschinell, Bürsten
- Polier- und Zahnreinigungspasten
- Zahnpflege - Interdentalbürsten und Zubehör
- Bleaching
- Fissurenversiegelung
- Fluoridierung
- Prophylaxe Sets
- Prothesenpflege
- Sonstiges
- Zahnreinigung - Elektrische Zahnbürsten
- Zahnreinigung - Ersatzbürsten
- Zahnreinigung - Zahnbürsten
- Zahnreinigung - Zahnpasta
- ZE-Ansätze, Vector-System
- Zubehör
- Zubehör ZE-Ansätze, Vector-System
- Röntgen
- Rotierende Instrumente
- Labor
- Sale
- Newsletter
- Zahnklänge (der Blog)
- FAQ
Produkte filtern
Omni Schienendose für Erwachsene, weiß – schmal & robust Praktische Aufbewahrungslösung für Zahnschienen und Aligner: Die langlebige Omni Schienendose in Dunkelblau überzeugt durch ihr kompaktes Format, hygienische Belüftung und einfache Handhabung im Praxis- oder Laboralltag. Produktvorteile – Schmal und platzsparend – ideal für Zahnschienen, Aligner oder Retainer – Robuster, durchgefärbter Kunststoff (Polypropylen) – bruchfest und langlebig – Hygienisch: Ober- und Unterschale mit Belüftungslöchern zur optimalen Luftzirkulation – Sicherer Easy-Twist-Verschluss für eine zuverlässige Aufbewahrung – Leicht zu reinigen – ideal für den täglichen Einsatz in Praxis, Labor oder zur Patientenabgabe – Maße: ca. 25 x 77 x 77 mm (H x B x T) – In sieben modernen Farben erhältlich – für eine klare Zuordnung oder individuelle Auswahl Anwendung & Zusatzinfos Die Omni Schienendose eignet sich optimal zur hygienischen Aufbewahrung und Abgabe von Zahnschienen, Alignern oder Retainern. Die Belüftungsschlitze fördern die Luftzirkulation, verhindern Feuchtigkeitsstau und unterstützen eine trockene Lagerung – auch unterwegs. Inhalt: 1 Stück Jetzt bestellen Jetzt in Wunschfarbe bequem online bestellen – bei dentalkiosk.de direkt verfügbar.
Oral-B® Superfloss™ Zahnseide hält die Zähne und den Mund rund um Zahnspangen und Brücken sauber. Das verstärkte Ende lässt sich leicht unter zahnmedizinischen Apparaturen einfädeln, während die flauschige Zahnseide in breiten Räumen reinigt, um sicherzustellen, dass auch schwer erreichbare Stellen erreicht werden und mehr Plaque* und Zahnstein entfernt wird als durch Zähneputzen alleine. Tägliches Zahnseideziehen mit Oral-B Interdentalzahnseide hilft, Karies und Zahnsteinbildung zu verhindern, unterstützt die Zahnhygiene und erhält sogar das Weiß der Zähne, indem es hilft, Oberflächenverfärbungen durch Entfernung von Plaque, die zu Zahnstein führen kann, zu verhindern. Enthält 50 vorgeschnittene Zahnseidefäden. Oral-B ist dein unverzichtbares Produkt für eine kraftvolle tägliche Reinigung und die Nr. 1 Zahnbürstenmarke**.*Bei Zahnseide und Zähneputzen, ggü. alleinigem Zähneputzen.**Basierend auf von P&G durchgeführten, weltweiten Befragungen einer repräsentativen Gruppe von ZahnärztInnen. Inhalt Zahnseide-Fäden
TePe® Interdentalbürsten Original – Packung mit 25 Stück, pink Ø 0,4 mm Effektive Interdentalreinigung mit nachhaltigem Anspruch: Die TePe® Interdentalbürsten Original sind die bewährte Lösung für eine gründliche und zugleich schonende Reinigung der Zahnzwischenräume. Entwickelt in Zusammenarbeit mit zahnmedizinischen Experten. Der ergonomische Griff, der integrierte Drahtschutz und das umweltfreundliche Produktionsverfahren machen diese Bürsten zur idealen Wahl für eine professionelle Interdentalpflege in der Praxis oder Zuhause. Produktvorteile – In verschiedenen Größen erhältlich – Farbcode-System für schnelle Größenidentifikation – Hochwertige Borsten mit kunststoffummanteltem Draht – schonend für Zahn und Zahnfleisch – Ergonomisch geformter Griff für sicheren Halt – Nachhaltige Herstellung: CO₂-Fußabdruck um 80 % reduziert – Schutzkappe inklusive – auch als Griffverlängerung nutzbar – Entwickelt in Kooperation mit zahnmedizinischen Spezialisten Anwendung & Zusatzinfos Die TePe® Interdentalbürsten können für die Reinigung von Zahnzwischenräumen, Implantaten, Kronen und Brücken verwendet werden und sind sowohl für schmale als auch für breite Lücken geeignet. Bei täglicher Anwendung können bis zu 40 % mehr Plaque entfernt werden als beim Zähneputzen allein. Inhalt: 25 Interdentalbürsten, pink (Ø 0,4 mm) Jetzt online bestellen: TePe® Interdentalbürsten Original – schonend & effektiv reinigen, nachhaltig produziert. Jetzt erhältlich bei dentalkiosk.de.
Omni Prothesenbürste – zur effektiven Reinigung von Zahnprothesen Gründlich und komfortabel: Die Omni Prothesenbürste bietet eine durchdachte Reinigungslösung für Zahnprothesen und kombiniert ein dichtes, unterschiedlich hartes Bürstenfeld mit einem integrierten Zahnpinsel für schwer erreichbare Stellen. Die spezielle Form und der Hoch-Tiefschnitt ermöglichen eine effektive und zugleich schonende Pflege von Zahnprothesen – für optimale Hygiene. Produktvorteile – Dichtes Bürstenfeld mit Hoch-Tiefschnitt für gründliche Reinigung – Unterschiedliche Borstenhärten für effektive Plaqueentfernung – Integrierter Zahnpinsel für Zwischenräume und prothetische Vertiefungen – Ergonomisches Design – liegt gut in der Hand – Ideal für die tägliche Pflege von Voll- und Teilprothesen Anwendung & Zusatzinfos Die Omni Prothesenbürste eignet sich zur manuellen Reinigung von Zahnprothesen. Für eine hygienische und effektive Anwendung empfiehlt sich die Kombination mit einer Zahnpasta speziell für Zahnersatz. Inhalt: 1 Prothesenbürste – Farbe nicht frei wählbar Jetzt bestellen: Omni Prothesenbürste – die durchdachte Lösung für eine gründliche Prothesenpflege. Jetzt online kaufen bei dentalkiosk.de.
Omni Kinderzahnbürste – Weiche Zahnbürste mit kindgerechtem Griff Sanft. Griffig. Kindgerecht: Die Omni Kinderzahnbürste ist speziell auf die Bedürfnisse junger Patienten abgestimmt. Mit ihrem weichen Borstenfeld, dem ergonomischen Griff für kleine Hände und der leuchtenden Farbgebung sorgt sie für eine gründliche und gleichzeitig schonende Zahnreinigung – ideal für die tägliche Mundhygiene bei Kindern. Produktvorteile – Weiche PE-Borsten – sanft zu Zähnen und Zahnfleisch – 3-reihiger Bürstenkopf mit 26 Borstenbündeln für effektive Reinigung – Konisch geformter Bürstenkopf – erreicht auch schwer zugängliche Stellen – Ergonomischer, rutschfester Griff für Kinderhände – Bunte Leuchtfarbe – motiviert zum Zähneputzen Anwendung & Zusatzinfos Die Omni Kinderzahnbürste ist für den täglichen Gebrauch im Rahmen der Zahnreinigung oder Kinderprophylaxe geeignet. Dank ihrer durchdachten Form unterstützt sie eine selbstständige, effektive Zahnpflege von Anfang an – auch bei motorisch noch ungeübten Kindern. Inhalt: 1 Kinderzahnbürste – Farbe nicht frei wählbar Jetzt bestellen: Omni Kinderzahnbürste jetzt bequem online bei dentalkiosk.de bestellen – für eine sanfte und gründliche Zahnpflege kleiner Patienten.
GUM® PAROEX® 0,06 % Mundspülung – 500 ml, alkoholfrei Gezielte Unterstützung für gesundes Zahnfleisch: Die GUM® PAROEX® Mundspülung mit Chlorhexidin und Cetylpyridiniumchlorid wurde speziell zur Vorbeugung von Gingivitis und zur Reduzierung von Plaquebildung entwickelt. Die alkoholfreie Formulierung mit frischem Geschmack eignet sich hervorragend für die tägliche Anwendung bei erhöhtem Bedarf an Zahnfleischschutz. Produktvorteile – Mundspülung mit 0,06 % Chlorhexidindigluconat (CHX) – Plus 0,05 % Cetylpyridiniumchlorid (CPC) – unterstützt die antibakterielle Wirkung – Zur Vorbeugung von Zahnfleischentzündungen – Angenehm frischer Geschmack – Alkoholfrei – besonders geeignet für empfindliche Schleimhäute Anwendung & Zusatzinfos Die GUM® PAROEX® Mundspülung wird angewendet um bakterielle Beläge zu reduzieren und das Zahnfleisch nachhaltig zu schützen. Die milde, alkoholfreie Formulierung ist besonders gut verträglich und eignet sich auch zur Langzeitanwendung. Inhalt: 500 ml Mundspülung in der Flasche Jetzt bestellen Jetzt GUM® PAROEX® Mundspülung bequem online bei dentalkiosk.de bestellen – für eine wirkungsvolle Ergänzung der täglichen Mundhygiene.
TePe® Compact Tuft™ – Einbüschelbürste für präzise Reinigung schwer erreichbarer Stellen Gezielte Zahnpflege in engen Bereichen: Die TePe® Compact Tuft™ ist eine hochwertige Einbüschelbürste mit rundem, kompaktem Bürstenkopf. Sie wurde speziell entwickelt, um schwer zugängliche Stellen im Mund besonders sanft und effektiv zu reinigen. Eine ideale Ergänzung zur täglichen Mundhygiene bei besonderen Anforderungen. Produktvorteile – Kleiner, runder Bürstenkopf für gezielte Anwendung – Sanfte Reinigung von schwer erreichbaren Stellen – Ideal bei z.B. Zahnspangen, Prothesen und Zahnfehlstellungen – Ergonomisch geformter Griff für präzise Handhabung – Weiche Borsten zur Schonung von Zähnen und Zahnfleisch – Geeignet für Patienten mit besonderen Putzanforderungen Anwendung & Zusatzinfos Die TePe® Compact Tuft™ Einbüschelbürste eignet sich optimal zur individuellen und schonenden Reinigung bei Zahnspangen oder Implantaten. Auch bei eingeschränkter Beweglichkeit oder für die Pflege empfindlicher Bereiche bietet sie wertvolle Unterstützung. Inhalt: 1 Einbüschelbürste - Farbe nicht wählbar Jetzt bestellen: TePe® Compact Tuft™ Einbüschelbürste – für eine präzise und anspruchsvolle Zahnpflege. Jetzt online bei dentalkiosk.de bestellen.
Omni Minibrush hart, weiß – Nylonbürstchen für effektive Zahnpolitur Gezielte Reinigung und schonende Politur: Die Omni Minibrush mit Nylonborsten sind speziell für die Reinigung und Politur von Zahnoberflächen konzipiert. Ausgestattet mit Winkelstück-Schaft und latexfreiem Material bieten sie maximale Politurergebnisse mit hohem Anwendungskomfort. Produktvorteile – Nylonborsten in verschiedenen Härtegraden - ideal für professionelle Zahnreinigung – Mit Winkelstück-Schaft – passend für gängige Hand- und Winkelstücke – Drehzahlbereich bis max. 2.500 U/min – kontrolliertes Arbeiten – Latexfrei – für Allergiker geeignet – Für die gründliche Entfernung von Belägen Anwendung & Zusatzinfos Die Omni Minibrush eignen sich hervorragend für die professionelle Zahnreinigung. Sie unterstützen die Entfernung von Biofilm oder Verfärbungen, ohne Substanz des Zahnschmelzes abzutragen. Sie ermöglichen eine effektive Reinigung auch in schwer zugänglichen Bereichen. Inhalt: 100 Minibrushes hart, weiß Jetzt bestellen: Omni Minibrush für professionelle Zahnreinigung – jetzt online sichern bei dentalkiosk.de. Produktvideos:
LISTERINE® COOL MINT MILDER GESCHMACK – alkoholfreie Mundspülung, 1.000 ml Sanfte Frische, bewährte Wirksamkeit: Die LISTERINE® COOL MINT Mundspülung entfernt zuverlässig bakterielle Beläge, schützt vor Karies und sorgt für frischen Atem – ganz ohne Alkohol. Ideal für Anwender:innen mit empfindlichem Geschmacksempfinden, für Kinder ab 6 Jahren und für Schwangere. Produktvorteile – Alkoholfreie Mundspülung – mild im Geschmack, stark in der Wirkung – Entfernt bis zu 97 % der Plaquebakterien nach dem Zähneputzen – Erreicht Stellen, die mit der Zahnbürste schwer zugänglich sind – Enthält 220 ppm Fluorid – zur Stärkung des Zahnschmelzes & Kariesprophylaxe – Unterstützt die Gesunderhaltung des Zahnfleischs durch Plaquereduktion – Langanhaltende Frische – angenehmer, milder Minzgeschmack – Geeignet für Kinder ab 6 Jahren & Schwangere – Ideal als Ergänzung zur täglichen Zahn- und Mundpflege Anwendung & Zusatzinfos Zweimal täglich nach dem Zähneputzen spülen – nicht schlucken. Die alkoholfreie Formulierung ist milder im Geschmack und besonders gut verträglich. Inhalt: 1.000 ml Flasche LISTERINE® Mundspülung, alkoholfrei, milder Geschmack Jetzt bestellen Jetzt LISTERINE® COOL MINT MILDER GESCHMACK online bei dentalkiosk.de bestellen – zur Unterstützung der täglichen Zahnpflege und für langanhaltend frischen Atem.
Omni ProfiPearls perio – Air-Polishing Pulver, subgingival, 100 g Gezielte Biofilmkontrolle in der Parodontalbehandlung: Omni ProfiPearls perio ist ein feines Air-Polishing Pulver auf Glycin-Basis, das speziell für die subgingivale Anwendung entwickelt wurde. Mit einer Partikelgröße von ca. 25 µm eignet sich das Pulver ideal zur sanften Entfernung bakterieller Beläge auch in tiefen parodontalen Taschen. Produktvorteile – Air-Polishing Pulver für die subgingivale Anwendung – Auf Basis von Glycin – Korngröße ca. 25 µm – Reduziert zuverlässig Bakterien auch in tiefen Parodontaltaschen – Kann zur Verringerung der Taschentiefe beitragen – Ideal im Rahmen der unterstützenden Parodontaltherapie Anwendung & Zusatzinfos Omni ProfiPearls perio wird zur schonenden subgingivalen Pulverstrahlbehandlung eingesetzt. Das glycinbasierte Pulver erlaubt eine gezielte Entfernung von Biofilm in tiefen parodontalen Taschen und ist gleichzeitig gewebeschonend – ideal für präventive und therapeutische Anwendungen in der Parodontologie. Inhalt: 100 g Air-Polishing Pulver, subgingival, auf Glycin-Basis Jetzt bestellen Jetzt Omni ProfiPearls perio Air-Polishing Pulver online bei dentalkiosk.de bestellen – für effektive, gewebeschonende Parodontalbehandlungen.
GUM® EXPANDING FLOSS – expandierende Zahnseide, 30 m Sanfte, gründliche Zahnzwischenraumreinigung: Die GUM® EXPANDING FLOSS ist eine innovative Zahnseide, die sich bei Gebrauch aufbauscht und so perfekt an enge und weite Interdentalräume anpasst. Ihre weiche, wattebauschähnliche Struktur ist besonders schonend zum Zahnfleisch – ideal für empfindliche Zähne und sensibles Zahnfleisch. Produktvorteile – Dünne Zahnseide, die sich leicht einführen lässt – auch bei engen Kontaktpunkten – Dehnt sich beim Gebrauch zu einer flauschigen Struktur aus – Passt sich optimal an variierende Zahnzwischenräume an – Besonders sanft – ideal für sensibles Zahnfleisch & empfindliche Zähne – Gründliche Entfernung von Plaque – Unterstützt die Vorbeugung von Karies und Zahnfleischproblemen – Mit angenehm frischem Geschmack – Praktische Spenderbox – hygienisch & leicht entnehmbar Anwendung & Zusatzinfos GUM® EXPANDING FLOSS eignet sich als Ergänzung für die tägliche Zahnreinigung. Sanft in die Zahnzwischenräume einführen und mit leichten Bewegungen an den Zahnflächen entlang reinigen – für eine umfassende Mundhygiene auch an schwer zugänglichen Stellen. Inhalt: 30 m expandierende Zahnseide in Spenderbox Jetzt bestellen Jetzt GUM® EXPANDING FLOSS online bei dentalkiosk.de bestellen – für sanfte, effektive Zahnzwischenraumreinigung bei empfindlichem Zahnfleisch.
Die Omni Kinderzahnbürste Black Snake ist geeignet für Kinder und Jugendliche ab 7 Jahren. Im Schlangen-Design Mit flexiblem Federhals Mit spezieller Borstenanordnung & dichtem Borstenfeld Ideal auch für die Gruppenprophylaxe in Schulen Alle Zahnbürsten in den abgebildeten Farben erhältlich. Farben nicht frei wählbar. Lieferung größerer Mengen farbsortiert. Inhalt Zahnbürste
OmniFresh Ultrasoft Einmalzahnbürsten – 100 Stück, sortiert Praktisch, hygienisch, einsatzbereit: Die OmniFresh Ultrasoft Einmalzahnbürsten sind mit Zahnpasta imprägniert und hygienisch einzeln verpackt – ideal für den Praxisalltag oder zur Patientenmitgabe. Produktvorteile – Einmalzahnbürsten mit imprägnierter Zahnpasta – sofort gebrauchsfertig – Ultrasofte Borsten – besonders sanft zu Zähnen und Zahnfleisch – Hygienisch einzeln verpackt – sicher & praktisch für unterwegs oder zur Patientenabgabe – Ideal für den Einsatz in der Prophylaxe – Einwegprodukt – für maximale Hygiene Anwendung & Zusatzinfos Die OmniFresh Ultrasoft Einmalzahnbürsten sind speziell für den sofortigen Gebrauch konzipiert. Sie eignen sich ideal für die professionelle Zahnreinigungen oder zur Mitgabe nach der Behandlung. Inhalt: 100 Einmalzahnbürsten, ultrasoft, sortierte Farben, mit Zahnpasta imprägniert Jetzt bestellen Jetzt OmniFresh Ultrasoft Einmalzahnbürsten 100 Stück bequem online bei dentalkiosk.de bestellen – für hygienische Frische jederzeit und überall.
Omni ProfiCups – blau, weich, auf Winkelstückmandrell, 24 Stück Effektive Reinigung trifft auf Qualität: Die Omni ProfiCups bieten eine exzellente Polierleistung für die professionelle Zahnreinigung. Die Lamellenstruktur im Kelch sorgt für eine gleichmäßige Verteilung des Poliermittels, während der Schutzkragen das Eindringen von Rückständen in das Winekstück effektiv verhindert. Produktvorteile – Polierkelche mit Lamellenstruktur – für gleichmäßige, schonende Politur – Mit integriertem Kragen – schützt zuverlässig das Winkelstück – Umdrehungsgeschwindigkeit: optimal bei 2.500 U/min – Latexfrei – auch für allergieempfindliche Patient:innen geeignet – Premium Qualität – Made in Germany Anwendung & Zusatzinfos Die Omni ProfiCups mit weicher Lamellenstruktur gewährleisten eine gründliche, aber schonende Politur – auch in sensiblen Bereichen. Die latexfreie Zusammensetzung macht sie sicher für Allergiker. Der Kragen am Mandrell verhindert wirksam das unerwünschte Eindringen von Poliermitteln in die empfindlichen Lagerteile der verwendeten Winkelstücke. Inhalt: 24 weiche Polierkelche, blau, auf Winkelstückmandrell Jetzt bestellen Jetzt Omni ProfiCups bequem online bei dentalkiosk.de bestellen – für eine professionelle Politur mit hochwertigen Polierkelchen.
Arzneimittel Alle Produkte mit dem Hinweis Arzneimittel fallen unter den Begriff Erinnerungswerbung laut Heilmittelwerbegesetz. Bei detaillierten Fragen zu den entsprechenden Arzneimitteln wenden Sie sich bitte direkt an den Hersteller. Nach § 4a Abs. 4 AM-HandelsV ist die Rücknahme von Arzneimitteln nur in gesetzlich genannten Ausnahmefällen zulässig (u.a. Großhändler, Apotheken). Wir bitten um Ihr Verständnis. Wichtiger Hinweis: Arzneimittel verkaufen wir ausschließlich an Zahnärzte, Apotheken Mund-, Kiefer und Gesichtschirurgen nach vorheriger Prüfung. Arzneimittel sind generell von der Rücknahme ausgeschlossen. Inhalt Mundspüllösung
Arzneimittel Alle Produkte mit dem Hinweis Arzneimittel fallen unter den Begriff Erinnerungswerbung laut Heilmittelwerbegesetz. Bei detaillierten Fragen zu den entsprechenden Arzneimitteln wenden Sie sich bitte direkt an den Hersteller. Nach § 4a Abs. 4 AM-HandelsV ist die Rücknahme von Arzneimitteln nur in gesetzlich genannten Ausnahmefällen zulässig (u.a. Großhändler, Apotheken). Wir bitten um Ihr Verständnis. Wichtiger Hinweis: Arzneimittel verkaufen wir ausschließlich an Zahnärzte, Apotheken Mund-, Kiefer und Gesichtschirurgen nach vorheriger Prüfung. Arzneimittel sind generell von der Rücknahme ausgeschlossen. Inhalt Dentalsuspension
OMNIDENT Zahnspangenbox – dunkelblau, mit Belüftung & Easy-Twist-Verschluss Sicher aufbewahrt – hygienisch geschützt: Die OMNIDENT Zahnspangenbox ist die ideale Lösung zur Aufbewahrung von herausnehmbaren Spangen. Dank robustem Kunststoff, Lüftungsöffnungen und praktischem Twist-Verschluss bietet sie maximale Alltagstauglichkeit. Produktvorteile – Große Aufbewahrungsbox für Zahnspangen – Aus langlebigem, durchgefärbtem Polypropylen – leicht zu reinigen – Mit gelochter Ober- und Unterschale – für optimale Belüftung – Sicherer Easy-Twist-Verschluss – einfach zu öffnen und zu schließen – Kompakte Maße (ca. 75 × 65 × 45 mm) – Erhältlich in sieben attraktiven Farben – Ideal für den Einsatz in der Kieferorthopädie oder zur Patientenmitgabe Anwendung & Zusatzinfos Die Zahnspangenbox ist perfekt für die tägliche Aufbewahrung von herausnehmbaren Zahnspangen. Die gelochte Ober- und Unterseite sorgt für eine optimale Belüftung. Sicher und einfach in der Handhabung durch Easy-Twist-Verschluss. Inhalt: 1 Zahnspangenbox, Maße ca. 75 × 65 × 45 mm, Dunkelblau Jetzt bestellen Jetzt die OMNIDENT Zahnspangenbox bequem online bei dentalkiosk.de bestellen – für hygienische und sichere Aufbewahrung im Praxisalltag und unterwegs.
elmex® 29 Zahnbürste – mittel, einzeln im Hygieneköcher Effektive Zahnreinigung mit bewährter elmex®-Qualität: Die elmex® 29 Zahnbürste mit mittlerer Borstenstärke ist für die tägliche Zahnreinigung konzipiert. Sie entfernt Plaque gründlich und sorgt für ein gepflegtes Mundgefühl. Dank der ergonomischen Form liegt sie sicher in der Hand, während der kompakte Bürstenkopf auch schwer zugängliche Stellen im Mund erreicht. Produktvorteile – Mittelharte Borsten für gründliche Reinigung und gleichzeitig schonende Anwendung – Ergonomischer Griff für kontrolliertes Zähneputzen – Kompakter Bürstenkopf für bessere Erreichbarkeit auch schwer zugänglichen Stellen – Hygienische Einzelverpackung im Köcher – ideal auch für unterwegs – Bewährte elmex®-Markenqualität Anwendung & Zusatzinfos Empfohlen zur täglichen Zahnreinigung und zur Unterstützung der Mundgesundheit in Kombination mit elmex® Zahnpflegeprodukten. Für Erwachsene und Jugendliche geeignet. Inhalt: 1 Zahnbürste, mittlere Borstenstärke, in Köcherverpackung Jetzt online bestellen: elmex® 29 Zahnbürste mittel – zuverlässige Zahnpflege mit bewährter Elmex Qualität. Jetzt bei dentalkiosk.de erhältlich.
GUM® ORTHO Zahnbürste – weich, V-Schnitt, mit Reisekappe Spezielle Pflege während kieferorthopädischer Behandlungen: Die GUM® ORTHO Zahnbürste wurde speziell für die Reinigung rund um Zahnspangen und Retainer entwickelt. Der V-förmige Bürstenschnitt sorgt für eine effektive Plaque-Entfernung – auch an schwer erreichbaren Stellen. Produktvorteile – Weiche Zahnbürste mit V-förmig angeordneten Borsten – Ideal zur Reinigung von Brackets oder Retainer – Kleiner Bürstenkopf – für gezielte Reinigung auch in engen Bereichen – Ergonomischer Griff mit rutschfester Daumenauflage – für optimale Kontrolle – Inklusive praktischer Reisekappe – hygienisch geschützt unterwegs Anwendung & Zusatzinfos Die GUM® ORTHO Zahnbürste ist für die tägliche Anwendung während kieferorthopädischer Behandlungen geeignet. Der spezielle V-Schnitt der Borsten ermöglicht eine gleichmäßige Reinigung der Zahnoberflächen sowie der Bereiche um Brackets und Drähte – sanft zum Zahnfleisch und effektiv gegen Plaque. Inhalt: 1 Zahnbürste, weich, mit V-Schnitt, inklusive Schutzkappe Hinweis: Farbauswahl erfolgt zufällig. Jetzt bestellen Jetzt GUM® ORTHO Zahnbürste bei dentalkiosk.de bestellen – für effektive Reinigung und sanfte Pflege bei festsitzender Zahnspange.
Zahnseide teflonbeschichtet – 20 m, mit Mintgeschmack Sanft, gleitfähig, gründlich: Die teflonbeschichtete Zahnseide in der praktischen 20 m Spenderbox ist ideal für die gründliche Reinigung enger Zahnzwischenräume. Dank der glatten, gleitfähigen Beschichtung gleitet sie mühelos zwischen den Zähnen – besonders geeignet für empfindliches Zahnfleisch. Produktvorteile – Teflonbeschichtete Zahnseide – besonders gleitfähig, auch bei engen Kontaktpunkten – Gründliche Plaque-Entfernung – unterstützt die Vorbeugung von Karies & Zahnfleischproblemen – Mit Mintgeschmack – sorgt für ein angenehm frisches Mundgefühl – Sanft zu empfindlichem Zahnfleisch – reduziert das Verletzungsrisiko – Praktische Spenderbox – hygienisch, leicht dosierbar, perfekt für unterwegs – 20 m Länge – ideal für die regelmäßige tägliche Anwendung Anwendung & Zusatzinfos Die Zahnseide wird sanft zwischen die Zahnzwischenräume eingeführt und unter leichtem Druck entlang der Zahnflächen bewegt. Sie eignet sich besonders für Patient:innen, die Wert auf eine komfortable und effiziente Zahnreinigung legen. Inhalt: 20 m teflonbeschichtete Zahnseide mit Mintgeschmack in Spenderbox Jetzt bestellen Jetzt teflonbeschichtete Zahnseide von OMNIDENT online bei dentalkiosk.de bestellen – für sanfte, gründliche Zahnzwischenraumreinigung mit frischem Geschmack. Produktvideos:
Arzneimittel Alle Produkte mit dem Hinweis Arzneimittel fallen unter den Begriff Erinnerungswerbung laut Heilmittelwerbegesetz. Bei detaillierten Fragen zu den entsprechenden Arzneimitteln wenden Sie sich bitte direkt an den Hersteller. Nach § 4a Abs. 4 AM-HandelsV ist die Rücknahme von Arzneimitteln nur in gesetzlich genannten Ausnahmefällen zulässig (u.a. Großhändler, Apotheken). Wir bitten um Ihr Verständnis. Wichtiger Hinweis: Arzneimittel verkaufen wir ausschließlich an Zahnärzte, Apotheken Mund-, Kiefer und Gesichtschirurgen nach vorheriger Prüfung. Arzneimittel sind generell von der Rücknahme ausgeschlossen. Inhalt Chlorhexamed
DYNEXIDIN® FORTE – 0,2 % CHX antibakterielle Mundspüllösung Flasche 1 Liter Bewährter Schutz bei Entzündungen: DYNEXIDIN® FORTE ist eine gebrauchsfertige, antibakterielle Mundspüllösung mit 0,2 % Chlorhexidin, dem Goldstandard in der Zahnmedizin zur Bekämpfung von entzündungsauslösenden Bakterien. Sie bildet einen schützenden Film auf Zähnen, Zahnfleisch und Schleimhaut und hemmt das Bakterienwachstum für mehrere Stunden. Produktvorteile – 0,2 % Chlorhexidinbis (D-gluconat) – stark antibakterielle Wirkung – Verhindert bakterielle Anhaftung durch schützenden Film – Gebrauchsfertig – kein Verdünnen erforderlich – Unterstützt die Mundhygiene wenn Zähneputzen schlecht möglich ist – Geeignet für die Anwendung: • Nach Zahnextraktionen • Nach Implantationen • Bei Entzündungen im Mundraum Anwendung & Zusatzinfos DYNEXIDIN® FORTE wird 1–2-mal täglich als Spüllösung verwendet, wenn das Zähneputzen nur eingeschränkt möglich ist oder zur zusätzliche Unterstützung der Mundhygiene. Die Lösung wirkt mehrere Stunden lang und hilft so, bakterielle Belastungen zu reduzieren. Inhalt: Gebrauchsfertige Mundspüllösung, 0,2 % Chlorhexidin Flasche 1 Liter Hinweis: Arzneimittel – bitte Packungsbeilage beachten. Jetzt bestellen Jetzt DYNEXIDIN® FORTE 0,2 % CHX online bei dentalkiosk.de bestellen – für wirksame Unterstützung der Mundhygiene bei Entzündungen und nach zahnärztlichen Eingriffen.
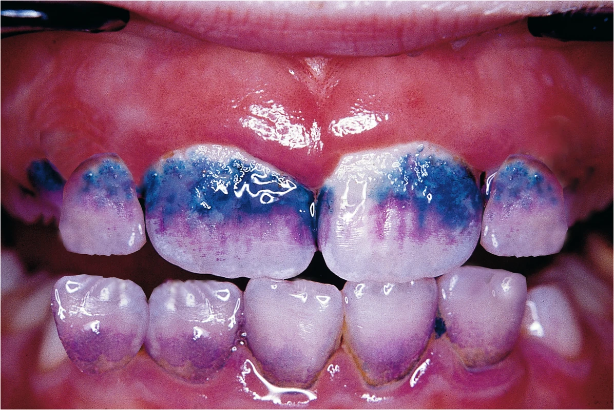
MIRA-2-TON® Plaqueindikator – 60 ml Lösung Effektive Plaquekontrolle auf einen Blick: Der MIRA-2-TON® Plaqueindikator macht Biofilm sichtbar und unterscheidet zuverlässig zwischen älteren und frisch gebildeten Belägen. Die bewährte Zweifarbentechnologie unterstützt sowohl die Diagnostik als auch die Patientenmotivation in der Prophylaxe. Produktvorteile – Zweifarbiger Plaquetest: • Ältere Plaque erscheint blau • Neuere Plaque erscheint rosa – Seit Jahren in der Praxis bewährt – sicher und effektiv – Unterstützt die Aufklärung & Motivation zur besseren Mundhygiene – Erythrosin- & glutenfrei – gut verträglich und patientenfreundlich – Einfärbungen lassen sich durch Zähneputzen rückstandslos entfernen – Ideal für PZR Behandlungen, Prophylaxe oder für die Kinder- und Jugendzahnheilkunde Anwendung & Zusatzinfos Die Lösung wird mithilfe eines Applikators auf die Zahnoberflächen aufgetragen. Nach kurzem Einwirken zeigt sich die farbliche Unterscheidung. MIRA-2-TON® eignet sich hervorragend zur Visualisierung von Putzdefiziten und zur Optimierung der Mundhygiene. Inhalt: 60 ml Lösung in Flasche Jetzt bestellen Jetzt MIRA-2-TON® Plaqueindikator online bei dentalkiosk.de bestellen – für effiziente Biofilmkontrolle und nachhaltige Patientenaufklärung. Produktvideos:
Mit der patentierten RISER® Floss Volumen-Seide von Profimed liegen die Vorteile klar auf Ihrer Hand. Vor der Anwendung noch so dünn, dass es sich bequem durch jeden Kontaktpunkt einführen lässt, entfaltet das RISER® Floss erst durch den Speichel seine wahre Größe und passt sich so jedem Zahnzwischenraum perfekt an! Es entsteht eine extra breite Fläche zur flauschig sanften Zahnpflege bei größter Reinigungswirkung. Inhalt Zahnseide
Prophylaxe: Optimale Vorsorge in Praxis und Labor
Ganzheitliche Prophylaxe – mehr als nur Zahnreinigung
Wer in der Zahnarztpraxis oder im Dentallabor arbeitet, weiß: Prophylaxe ist die Basis nachhaltiger Mundgesundheit. Sie umfasst nicht nur die klassische Zahnreinigung, sondern reicht von der Plaqueerkennung und Kariesdiagnostik bis zur gezielten Fluoridierung. Moderne Prophylaxe schließt Patienten jeden Alters ein – vom ersten Milchzahn bis zur Versorgung mit Zahnersatz.
Effiziente Abläufe durch passgenauen Dentalbedarf
Für effektive Prophylaxebehandlungen sind durchdachte Materialien entscheidend. Im Sortiment findest Du alles, was für die tägliche Praxis wichtig ist: Zahnpasta, Zahnbürsten, Interdentalbürsten und Zahnseide. Wer auf maschinelle Unterstützung setzt, wird bei Bürsten und Reinigungspulver für Pulverstrahlgeräte fündig. Individuelle Sets für die professionelle Zahnreinigung sind in der Kategorie Prophylaxe Sets gebündelt.
Prävention für jede Patientengruppe
Prophylaxe geht weit über die Reinigung hinaus. Für Kinder bietet die Fissurenversiegelung effektiven Schutz vor Karies. Erwachsene profitieren von Fluoridierung und persönlicher Zahnpflege, etwa mit elektrischen Zahnbürsten oder Prothesenpflege. Auch für ästhetische Anforderungen gibt es eine eigene Rubrik: Bleaching und Polierpasten unterstützen die professionelle Aufhellung und Oberflächenpflege.
Praxisnahe Lösungen und Zubehör
Ein funktionierender Dentalbedarf lebt von durchdachtem Zubehör. Von Zubehör und Aufbewahrungs- und Transportboxen über spezielle ZE-Ansätze und Vector-Systeme bis zu Zubehör ZE-Ansätze, Vector-System – jede Praxis findet hier passgenaue Lösungen. Auch für besondere Anforderungen gibt es spezielle Produkte wie Sonstiges oder Ersatzbürsten und Zahnpflegekaugummis. Die Bandbreite ist groß – so wird individuelle Prophylaxe zur Routine.